Canon Advanced Post-Processing
Приложение для постобработки изображений Canon Advanced Post-Processing
Цена по запросу

Приложение для постобработки изображений Canon Advanced Post-Processing

Canon Advanced Post-Processing
Приложение для постобработки изображений Canon Advanced Post-Processing
Canon Advanced Post-Processing
Canon Advanced Post-Processing
Арт.: M011882

Быстрое, интуитивно понятное и точное решение для повышения производительности и ухода за пациентами: неврология, включая нейропедиатрию и МРТ, решение для визуализации всего тела, включая грудь и простату, приложение MSK для раннего выявления разрушения хряща.

Описание

Неврология

Оптимизированное решение для диагностической помощи при нейровизуализации взрослых и детей

Автоматически и точно рассчитывает качественные и количественные карты проницаемости.

  • Обнаружение, классификация и характеристика опухолей с быстрым доступом к качественной и количественной информации индивидуальный макет
  • Решение для мгновенного инсульта для МРТ с автоматическим составлением отчетов
  • Предоперационное планирование с трактографией и отображением волокон на обычных картах
  • Последующее наблюдение за развитием поражения и анализ ответа на лечение с временным вычитанием
  • Неинвазивная перфузия ASL для педиатрии и противопоказания почек
  • Инструменты расширенного анализа и сегментации

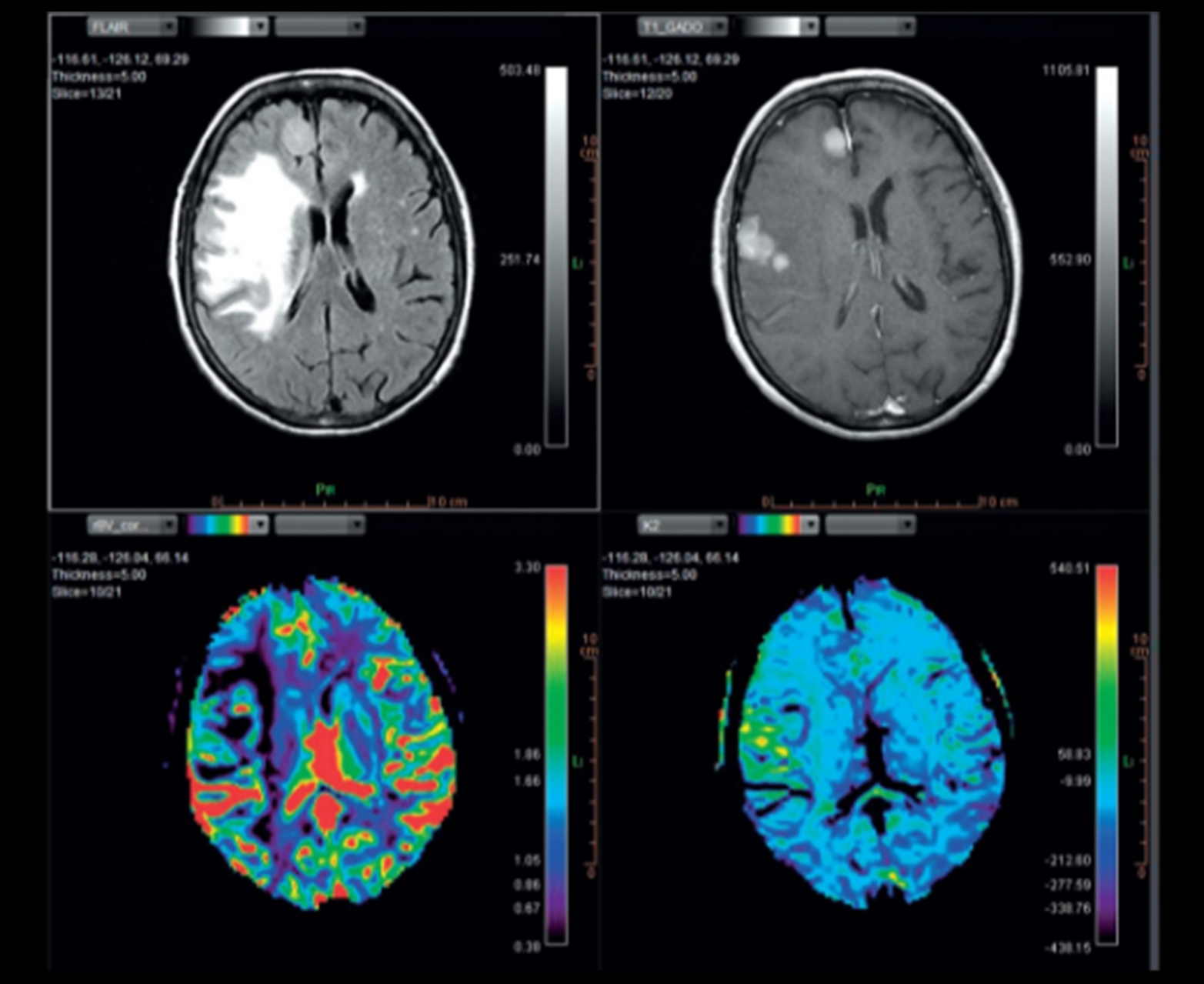
Многопараметрическое настраиваемое отображение карт диффузии и перфузии, включая карты rCBV_corrected и K2

Многопараметрическое настраиваемое отображение карт диффузии и перфузии, включая карты rCBV_corrected и K2

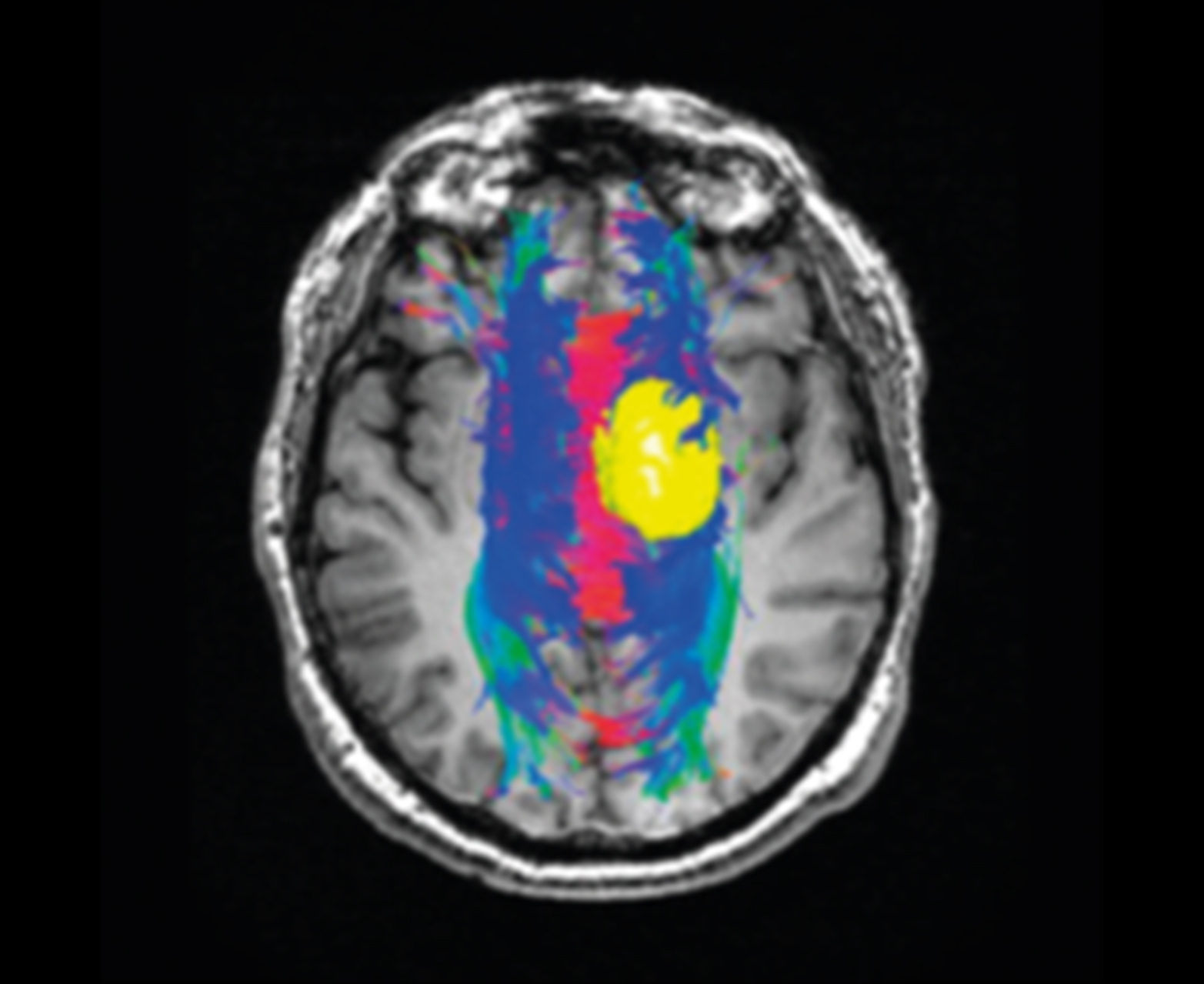
Отслеживание волокна и объединение с обычными картами

Отслеживание волокна и объединение с обычными картами

Мгновенный и стандартизированный отчет об инсульте с автоматическим вычислением несоответствия

Мгновенный и стандартизированный отчет об инсульте с автоматическим вычислением несоответствия

Голова и шея Количественные карты проницаемости

Количественные карты проницаемости головы и шеи

Последующее наблюдение за поражением с совместной регистрацией

Последующее наблюдение за поражением с совместной регистрацией

Неконтрастная перфузия ASL

Неконтрастная перфузия ASL

Онкология тела

Оптимизированные решения для комплексной визуализации при патологиях груди и простаты

  • Обнаружение, классификация и характеристика опухолей с быстрым доступом к качественной и количественной информации
  • Интегрированные и управляемые отчеты Pi-Rad и Bi-Rads для повышения эффективности
  • Автоматический расчет кинетического распределения
  • Количественная оценка микроперфузии и электронных значений b методом IVIM
  • Инструменты расширенного анализа и сегментации

Расчет АЦП и других качественных и количественных карт

Расчет АЦП и других качественных и количественных карт

Многопараметрический просмотр и инструменты анализа для быстрой характеристики поражения

Многопараметрический просмотр и инструменты анализа для быстрой характеристики поражения

Интегрированная и управляемая отчетность Pi-Rads Bi-Rads

Интегрированная и управляемая отчетность Pi-Rads Bi-Rads

Опорно-двигательный аппарат

Диагностика и наблюдение за спортивными и ортопедическими заболеваниями

  • Расчет отображения T2
  • Раннее обнаружение разрушения хряща с помощью карты Thresholds T2

Опорно-двигательный

Обнаружение хрящевой ткани в группе риска с использованием пороговых значений времени релаксации T2

Характеристики
Вид оборудования
ПО
Цена по запросу
Сервис
Лизинг
Гарантии
Преимущества